HOME
■掲載日:2004-10-05 ■更新日: 2008-03-26
みむら歯科のロゴです
〒184-0011
東京都小金井市東町4-31-10
     
 TEL:042-382-1182
 FAX:042-382-1182
 ■ 院長名
院長三村義仁
三村 義仁
<略歴・会員など>
2004年 
 ・日本小児歯科学会・会員
 ・日本歯科審美学会・会員
  ごあいさつ 2004-10-05
  はじめまして、みむら歯科 院長 三村義仁です。
小金井歯科医師会に所属し地域医療に少しでも貢献できればと生まれ育った小金井市で2000年6月開業いたしました。
 2003年 介護認定審査歯科医・在宅歯科診療協力医

 毎年、春には学校検診・6月には地域センターにて無料歯科検診実施。災害時にお役に立てるように警察歯科医会にも所属しております。
 また、都立府中病院との連携も出来ておりますので癌や腫瘍などの疾患の病理検査・手術等のご相談も承っております。
 ■ クリニック外観  
みむら歯科の外観写真です
 ■ 診療内容  
 一般歯科・小児歯科・審美歯科
 
 ■ 受付・診療時間  
診療時間
9:30〜13:00
×
×
14:30〜19:00
×
-
×
14:00〜17:00
-
-
×
-
-
×
 ■ 休診日  
  水曜日・日曜日・祝日
 ■ その他情報
予約制
保険診療
お 薬
時間外
あり
院外処方
なし
在 宅
入院施設
駐車場
健  診
往診可
なし
なし
各種

*当医院には駐車場はございませんが、診療所付近に時間貸し駐車場がいくつかございます。次回診療の際、領収書お持ち頂ければ当医院が負担させていただきます。
■成人歯科健康診査・歯周疾患検診、受け付けしております。
■訪問・在宅歯科診療ご希望の方はお気軽にご相談ください。

 ■ 周辺地図  
みむら歯科のアクセスマップです
 ■ アクセス情報
■JR中央線 東小金井駅:南口より徒歩3分
 ■ E-mail  
 ■ URL http://koganei.shop-info.com/mimurashika/
 ■ 特 徴  

 

■ 知っていただく事が大切です。 ■

みむら歯科診察室 各分野の企業がそれぞれの特徴あるコンセプトで事業を行うように、歯科医院でも、それぞれの特色があります。 そうした中で、例えば私たちは、患者さんが共通して抱いている「歯の治療は痛い!」を、できる限り排除する【無痛治療】を目指しております。 また、患者さんにリラックスしていただこうと【パーテンション】を完備して隣同士見えない様に、治療にあたっております。 わかりやすい治療内容の説明をめざし超小型CCDカメラを使用しチェアーサイドのモニターでお口の中の状態を見ながら十分な説明を心がけています。★ すべての患者さんへ満足を ★  治療に当たりまず最初にすべきことは患者さんの痛みや不満を一刻も早く取り除くことです。ですからまずは原因となる歯の治療を最優先にします。 しかしここで忘れてはいけないことは、痛みなどの自覚症状がない歯にも問題がある場合があること(歯周病、歯の根の先の問題)また歯は1本1本単独で働いているわけではなく(お口の中には通常、成人で28本の歯があります)歯にはそれぞれ役割があり全体が調和のとれた状態で咬み合うことではじめて1つの器官として働くことが出来るということです。 このような考えのもとに当診療室では現在の患者さんのお口の中の状態を客観的に見て今すぐ治療が必要なところや将来的に問題が起きそうなところをすべて説明いたします。

みむら歯科受付待合室 そして患者さんとお話し合いの上それぞれの患者さんのご希望に応じた治療を行うよう努めることですべての患者さんに満足して頂けるような歯科治療をめざしています。

 

■ 私も痛いのは苦手ですよ。 ■

“歯の治療は痛い!怖い!”といった従来のイメージを壊すべく、当医院では無痛治療を目指しています。★麻酔針を打つ瞬間のチクッ!をなくす方法

  • 表面麻酔
    局所麻酔を行う際の、針を刺すポイントの粘膜にゼリー状の麻酔薬を塗布し、感覚を鈍化させる方法です。もちろん保険適応範囲です。
  • 局所麻酔
    当医院では33ゲージという極細の注射針を使用します。(細いほど痛みがありません)
    もちろん完全使い捨てです。

電動麻酔注射器電動の麻酔注射器は、細い針を使用しているため、刺したときの痛みが非常に抑えられています。また、機械の圧力で麻酔液を注入するため、ゆっくりと痛くないように麻酔が注入できます。

 

■ 当医院では高度先端治療であるレーザー治療を行っています。 ■

 当医院で使用しているのはNd-YAGレーザーで、痛みや炎症を鎮めたり殺菌する効果の高いものです。

Nd :YAGレーザーは、他のレーザーと比べても、その優位性が認められており、安全かつ効率的な治療に効果を発揮しています。また、不快感が少ないという特徴を持ち多くの場合、麻酔を必要としません。ペースメーカーを入れている患者さんや妊娠中の患者さんにも安心して治療を受けて頂く事ができます。

以下のような通常の治療にレーザーを併用する場合があります。

■歯周病の治療・知覚過敏の治療・歯の根の治療・口内炎の治療虫歯の予防・顎関節の疼痛の緩和など

*通常診療におけるレーザー治療の際、当医院では差額診療費を頂いておりませんので御安心ください。

▼▼▼レーザー治療に関するよくある質問▼▼▼
Q1: レーザー治療って何ですか
A1: 患部にレーザーを照射して治療します。レーザー治療は、(1)処置が簡単、(2)ほとんど痛みのない治療が可能、(3)治療効果が現れるのが早く、局所麻酔をほとんど使用しないで治療を行うことが可能、などのメリットがあります。
Q2: 痛くありませんか
A2: ほとんど痛みは感じません。特に当院Nd:YAGレーザーは、無痛に最も近い治療と言われていて、研究機関などの実験でも立証されています。
Q3: 安全ですか
A3: レーザー治療は安全で副作用もなく、妊娠中の方、高血圧・心臓病の方、ペースメーカーを使用されている方なども安心して処置を受けることができます。
▼▼▼レーザー治療は、下記の症状に効果があります。▼▼▼
Q1: 虫歯の予防はできますか
A1: 虫歯になりやすい個所にレーザーを照射します。これによって歯の耐酸性が向上し、虫歯になりにくい歯をつくることができます。
予防1
▲ 術 前
予防2
▲ 術 後
Q2: 口を大きく開けると痛いのですが
A2: 口を大きく開けると痛い、口が大きく開けられないといった症状はアゴの関節に原因があります。レーザーをアゴの関節に照射することによって、アゴの痛みなどの症状を軽減することができます。
Q3: 歯茎の色が気になるのですが
A3: 健康な人の歯茎はピンク色をしていますが、時には歯茎の一部が黒ずむ場合があります。レーザーを数回照射することにより、気になる歯茎の黒ずみを取り除くことができます。
メラニン1
▲ 術 前
メラニン2
▲ 術 後
Q4: 冷たい水が歯にしみるのですが
A4: 冷たい水がしみたり、歯ブラシが当たると痛みを感じることがあります。これは知覚過敏といって、歯肉が下がり、歯の根が露出するために起こる現象です。この知覚過敏もレーザーによって効果的に治療することができます。
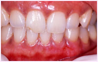
Q5: 歯肉の腫れや出血にも効果がありますか
A5: 歯肉の腫れや歯肉の出血などの歯周病。従来からの治療法とレーザー治療を併用することで、大きな効果をあげています。
歯肉1
▲ 術 前
歯肉2
▲ 術 後
Q6: 口内炎の痛みにも効くのですか
A6: 頬の内側などにできる口内炎。食べ物や飲み物がしみたり、痛みを感じたり、とても不快なものです。口内炎に対してもレーザー照射することによって痛みが軽減され、治療期間も短縮されます。

-その他下記の症状に効果があります。-
ご質問などございましたら、お気軽にご相談下さい。

  • 消炎効果(炎症をおさえます。)
  • レーザー麻酔作用(注射の頻度と量を減らします)
  • 殺菌、消毒効果(治療のしにくい患部も治療できます)
  • 組織の蒸散(患部を飛ばしてしまします)
  • 組織の活性化作用(歯肉を健康な状態に戻します)
  • 止血作用(抜歯や形成後の止血)

 

当サイトに記載しております文章、写真、画像、データなどを無断で複写・転載することを禁じます。
Copyright(c) doctors-search.com All Rights Reserved.